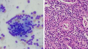
肛門嚢腺癌の超音波検査と細胞診・HE染色
皮膚超音波検査では腫瘍内には高エコーと低エコー部が混在性に観察され、時々、線状の白色構造が混じる。HE染色では高エコーの一部は腫瘍壊死に一致する。線状白色構造は結合組織に増生に概ね一致する。細胞診では小型の上皮性細胞が集簇し、神経内分泌を思わせるような裸核細胞が混じている。HE染色ではロゼット様の配列が見られる。

皮膚超音波検査では腫瘍内には高エコーと低エコー部が混在性に観察され、時々、線状の白色構造が混じる。HE染色では高エコーの一部は腫瘍壊死に一致する。線状白色構造は結合組織に増生に概ね一致する。細胞診では小型の上皮性細胞が集簇し、神経内分泌を思わせるような裸核細胞が混じている。HE染色ではロゼット様の配列が見られる。
