肉芽腫性脂肪織炎の超音波検査とHE染色

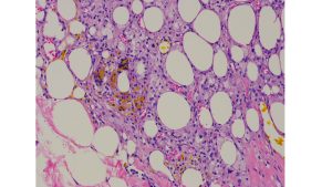
皮膚超音波検査では赤丸に包まれるやや低エコー性の境界明瞭な病変が観察される。黄色で包まれる底部では低エコーと連続する高エコーの領域が見られる。HE染色では低エコーの領域は脂肪組織で高エコーの領域は細胞成分が増している。細胞成分が増している領域は脂肪組織に対するマクロファージを主体とした肉芽腫性炎症が観察される。

皮膚超音波検査では赤丸に包まれるやや低エコー性の境界明瞭な病変が観察される。黄色で包まれる底部では低エコーと連続する高エコーの領域が見られる。HE染色では低エコーの領域は脂肪組織で高エコーの領域は細胞成分が増している。細胞成分が増している領域は脂肪組織に対するマクロファージを主体とした肉芽腫性炎症が観察される。